Zâmbetul tău, misiunea noastră de peste 20 de ani.
Stomatolog bun îl poți găsi la UntilaDent
Experiență Certificată
Fondată în 2003, clinica noastră reunește o echipă de specialiști dedicați sănătății tale dentare.
Tehnologie Digitală
Utilizăm scanarea intraorală, tehnologia CAD/CAM și microscopul stomatologic pentru precizie maximă.
Tratament fără Durere
Materialele moderne și răbdarea medicilor noștri garantează un confort total pe durata procedurilor.
Disponibil pentru programări
Despre primul centru de stomatologie din Chisinau UntilaDent
Stomatolog bun îl poți găsi la UntilaDent
Implante
Restaurăm zâmbetul tău prin implantologie ghidată și materiale de top, asigurând o integrare perfectă și durabilitate maximă.
Chirurgie
Efectuăm intervenții chirurgicale complexe, de la extracții la adiții osoase, într-un mediu sigur și complet fără durere.
Carii
Tratăm cariile dentare folosind materiale compozite de ultimă generație care redau aspectul natural și funcționalitatea dintelui.
Igienizare
Îndepărtăm placa bacteriană și tartrul prin detartraj profesional și tehnici moderne, prevenind afecțiunile gingivale severe.
Endodontie
Salvăm dinții naturali prin tratamente de canal sub microscop, eliminând infecțiile și prevenind pierderea timpurie a dinților.
Profilaxie
Monitorizăm sănătatea ta orală prin controale periodice și sigilări, pentru a opri problemele dentare înainte ca ele să apară.
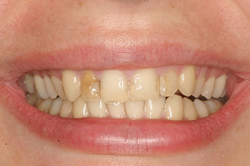
Transformări care schimbă vieți



Echipa UntilaDent
Filiala 1
UntilaDent Chisinau Botanica
Strada Hristo Botev 29, Chișinău, Moldova
Filiala 2
UntilaDent Chisinau Telecentru
Strada Constantin Vârnav 21, Chișinău, Moldova